Trypanosoma
Mikrobiologie
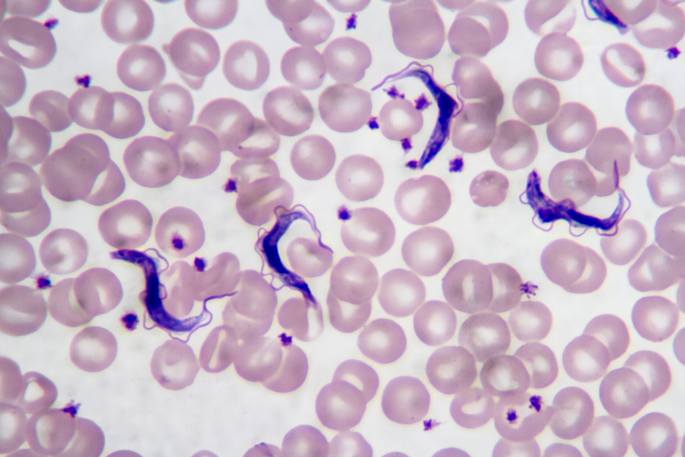
[Řečtina], rod cizopasných prvoků z řádu Kinetoplastida. Mají protáhlé tělo s jedním bičíkem buď volným, nebo tvořícím tzv. undulující membránu. Je známo asi 300 druhů. Žijí v krvi obratlovců; jsou přenášeni hmyzem, a to dvoukřídlými rodu Glossina, ovády nebo plošticemi. Rozmnožují se ve hmyzu, a to buď v trávicím traktu, nebo ve slinných žlázách. U člověka cizopasí Trypanosoma gambiense a Trypanosoma rhodesiense, původci spavé nemoci (trypanozomózy), a Trypanosoma cruzi, působící Chagasovu nemoc.
Vytvořeno:
14. 3. 2000
Aktualizováno:
9. 6. 2025
Autor: -red-
Odkazující hesla: dourina.
Vyzkoušejte si s přáteli Kvízy encyklopedie CoJeCo.cz!